Quinnipiac iQ Career and Experiential Learning Lab

Physician Assistant (PA)

Recurrent Craniopharyngioma Complicated by Panhypopituitarism and Diabetes Insipidus

Student presenting her poster at a ConnAPA conference

Physician Assistant (PA)

Recurrent Craniopharyngioma Complicated by Panhypopituitarism and Diabetes Insipidus

This project was completed for PY 652: Medical Writing & Biostatistics for PA.

Overview

After working closely with a patient diagnosed with a craniopharyngioma, a rare benign brain tumor that accounts for approximately 0.8% of all brain tumors, April Alver '23, MHS ‘25 explored treatment approaches in the context of the patient’s clinical course, highlighting the complexities of managing recurrent disease and balancing treatment risks with long-term outcomes.

Conference Presentation

  • Presented at the ConnAPA Student Poster Presentation in March 2025

Researcher

Double Cut Q Logo

April Alver '23, MHS '25

Physician Assistant

School of Health Sciences

Recurrent Craniopharyngioma Complicated by Panhypopituitarism ​and Diabetes Insipidus

 

Introduction

  • Craniopharyngiomas are a rare benign tumor of the sellar and parasellar region that cause endocrine and neurological dysfunction1​
  • These tumors account for approximately 0.8% of all brain tumors1​
  • Two subtypes:
    • Adamntinomatous subtype – occurs in both pediatric and adult populations2​
    • Papillary subtype – almost exclusively in adults2
  •  Endocrinopathy will be present in 90% of patients3​
    • Most common is growth hormone deficiency3​
  • The tumor is often adherent and has indistinct borders with neuroglial tissue3​
  • Two treatment options:​
    • Gross total resection --> risk of panhypopituitarism and diabetes insipidus4​
    • Partial resection with adjuvant radiotherapy --> risk of cognitive decline4 and radiation induced malignancy5​
  • Post surgery central diabetes insipidus is associated with hypernatremia and polyuria6​
    • It can be transient or permanent6​
  • Postoperative hypopituitarism is often permanent and requires long-term hormone replacement therapy7​
  • Increased morbidity due to extended skull base approaches during surgery3​
  • There is little evidence for how recurrent craniopharyngiomas should be managed4​
  • The recurrence rate after treatment is approximately 20-30% within 5 years4​

 

Case Description

Brief History: ​

  • Figure 1 describes the hospital course ​
  • 65-year-old male with PMH of hypertension, craniopharyngioma s/p resection complicated by panhypopituitarism and diabetes insipidus​
  • Medications:​
    • Hydrocortisone three 5 mg tablets (15 mg daily)​
    • Desmopressin 0.1 mg tablet daily ​
    • Levothyroxine 88 mcg tablet daily​
    • Metoprolol tartrate 25 mg tablet daily ​
  • No known allergies ​
  • Surgical history: Endoscopic trans-nasal resection of tumor (January 2024)​
  • Family and social history unremarkable​
  • ROS unremarkable​

Physical Exam:​

  • General:​
    • Awake in bed upon entering, no acute distress​
  • HEENT:​
    • Left eye prosthesis, right eye opens on command ​
      • Right pupil reactive to light ​
      • Extraocular movements intact ​
  • Cardiovascular:​
    • S1 and S2 appreciated with regular rate and rhythm​
  • Pulmonary: ​
    • Lung sounds clear and equal bilaterally​
  • Neurological:​
    • AOx1 (person only), GCS 14​
      • Unable to identify correct hospital location
    • Able to follow commands​
    • Speech is clear without slurring​
    • Facial symmetry and tongue midline ​
    • Sensation intact for upper and lower extremities ​
    • 5/5 strength bilaterally for biceps, triceps, hip flexion​
    • Equal grip strength bilaterally​
  • Remainder of physical exam within normal limits

Vitals:​

  • Blood pressure: 180/86 mmHg​
  • Pulse: 81 bpm​
  • Respirations: 20 breaths per minute​
  • SpO2: 93% room air​
  • Temperature: 96.7 degrees Fahrenheit ​

Differential Diagnosis:​

  • Intracranial mass​
  • Seizure​
  • Hypoglycemia ​
  • Stroke​
  • Sepsis​

Diagnostic Results:​

CT head w/o contrast 10/13 11am

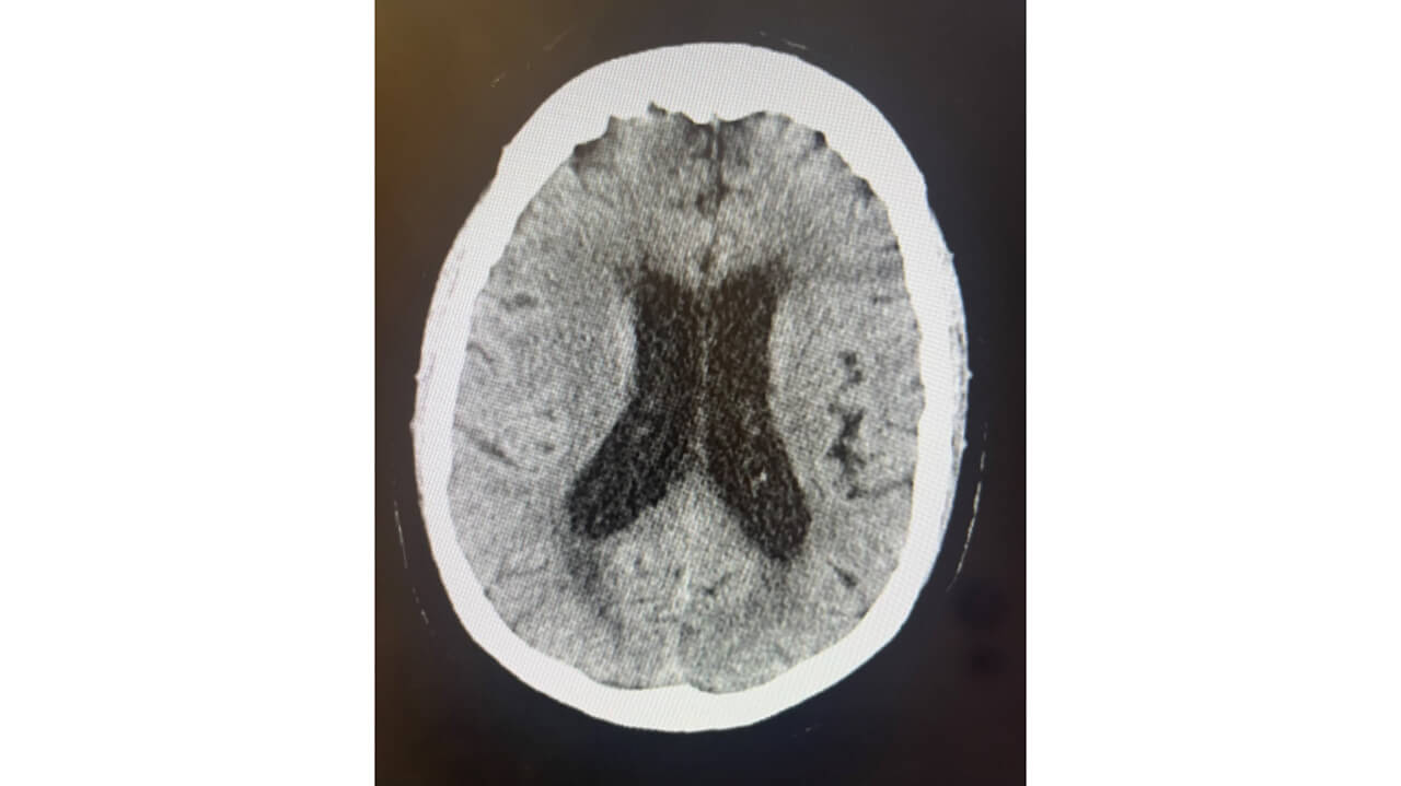
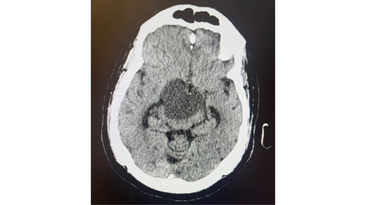
  • Recurrent soft tissue tumor in the suprasellar cistern measuring 4.0 x 4.5 cm​
  • Exerting mass effect on the third ventricle with borderline increased ventricular volume ​

CT head w/o contrast 10/13 10pm

  • Findings are concerning for obstructive hydrocephalus

CT head w/o contrast 10/17​

  • Sellar / suprasellar lesion has decreased in size now measuring approximately 3.6 x 3.1 cm​

 

Figure 1: Hospital Course

Presented to an outside hospital from a skilled nursing facility with altered mental status and lethargy Transferred for concern of abnormal head CT

Patient was hypertensive and found to have excessive urination
Overnight GCS decreased from 14 to 11 Neurosurgery procedure Discharged home with follow up plan

 

Figure 2: Electrolyte and Osmolarity Lab Tests

Lab Test​ Patient’s values​ Reference Range​
Urine Osmolality​ 119 mOsm/Kg​ 40-1,400 mOsm/Kg​
Serum / Plasma Osmolality ​ 321 mOsm/Kg​ 285-295 mOsm/Kg​
Serum Sodium 146 mmol/L​ 136-145 mmol/L​

 

Figure 3: Pituitary Lab Tests

Lab Test​ Patient’s values​ Reference Range​
AM Cortisol​

0.4 ug/dL​ (Due to missed hydrocortisone dose)

6.2-19.4 ug/dL​
Free T4​ 0.6 ng/dL​ 0.80-1.90 ng/dL​
Total Testosterone <3 ng/dL​ 193-740 ng/dL​
Follicle Stimulating Hormone​ 1.4 mIU/mL​ 1.4-12.8 mIU/mL​
Luteinizing Hormone <0.2 mIU/mL​ 1.6-15.2 mIU/mL​

 

Treatment and Case Outcome

Final Diagnosis:​

  • Craniopharyngioma with mass effect on midbrain and hydrocephalus ​

Treatment:​

  • Endoscopic resection of tumor, drainage of tumor cyst, and fenestration of tumor cyst walls with placement of an external ventricular drain that was removed three days later​

Patient Outcome:​

  • Repeat head CT w/o contrast demonstrated decreased size of the ventricular system​
  • Sella and suprasellar lesion now measuring 3.6 x 3.1 cm in size​
  • The patient was stable and cleared for discharge by endocrinology and neurosurgery​

Two Week Outpatient Follow Up:​

  • Patient at his baseline​
  • Surgical site is healing well and sutures at the external ventricular drain site were removed​
  • Plan for post op MRI brain in 3 months​

 

Discussion

  • Obstructive hydrocephalus can cause increased cranial pressure leading to visual disturbances and headaches8​
  • In this case, the patient presented with symptoms more notable for normal pressure hydrocephalus, including urinary incontinence and cognitive impairment8​
  • The 10-year survival rate after surgery or radiotherapy is approximately 90%9​
  • Quality of life is often impaired due to central diabetes insipidus, headache, and pituitary axis deficits9​
  • Hydrocortisone replacement is imperative since ACTH deficiency can be fatal if untreated. Hydrocortisone should be replaced before thyroxine since thyroxine increases glucocorticoid clearance and has the potential to cause adrenal crisis.10 This is important to note because the patient missed his afternoon dose of hydrocortisone which resulted in a cortisol of 0.4 ug/dL​
  • Residual tumor volume reduction may be seen on the second postoperative scan compared to the first11​
  • The best assessment of remaining tumor volume occurs 2 to 3 months following surgery11

 

Conclusion

  • Craniopharyngiomas are benign tumors that can invade neurovascular structures and cause neurological and endocrine impairment ​
  • Central diabetes insipidus and hypopituitarism are complications of tumor resection that can be permanent ​
  • Patients should be informed that there is a risk of tumor recurrence following resection  ​
  • Although there are no clear guidelines for treatment management, providers should be aware of the risk and benefits associated with different treatment options

 

Professional Application

"This project has helped prepare me for a career as a physician assistant by encouraging me to push beyond my comfort zone and learn about complex and unfamiliar conditions. It reinforced the importance of continuous learning and adaptability in clinical practice. Presenting my findings at a professional conference highlighted the important role PAs fulfill not only in patient care but also in advancing research and evidence-based practice." - April Alver '23, MHS '25

 

For Further Discussion

This serves as an overview of the project and does not include the complete work. To further discuss this project, please email April Alver.

Course Overview

PY 652: Medical Writing & Biostatistics for PA introduces biostatistics, evidence-based medicine, as well as critical review and application of evidence to clinical decision-making. Students learn to construct clinical questions and perform literature searches. Methods for critically appraising the literature and strategies for maintaining currency of medical knowledge through journal clubs are practiced. Review of basic techniques of medical writing and presentation allow students to develop presentations, posters and journal articles while incorporating peer review feedback.

Explore Our Areas of Interest

We've sorted each of our undergraduate, graduate and doctoral programs into unique Areas of Interest. Explore these categories to discover which programs and delivery methods best align with your educational and career goals.

Explore Health and Medicine at Quinnipiac

 

References

1. Ostrom QT, Gittleman H, Liao P, et al. CBTRUS Statistical Report: Primary brain and other central nervous system tumors diagnosed in the United States in 2010-2014. Neuro Oncol. 2017;19(suppl_5):v1-v88. doi:10.1093/neuonc/nox158​

2. Larkin SJ, Ansorge O. Pathology and pathogenesis of craniopharyngiomas. Pituitary. 2013;16(1):9-17. doi:10.1007/s11102-012-0418-4​

3. Castle-Kirszbaum M, Shi MDY, Goldschlager T. Quality of Life in Craniopharyngioma: A Systematic Review. World Neurosurg. 2022;164:424-435.e2. doi:10.1016/j.wneu.2022.05.038​

4. Zheng Y, Ong SH, Vellayappan B, Nga VDW. Management of first recurrence or progression of craniopharyngioma after resection alone: A systematic review and individual-participant data meta-analysis. J Clin Neurosci. 2023;118:123-131. doi:10.1016/j.jocn.2023.10.014​

5. Chowdhary A, Spence AM, Sales L, Rostomily RC, Rockhill JK, Silbergeld DL. Radiation associated tumors following therapeutic cranial radiation. Surg Neurol Int. 2012;3:48. doi:10.4103/2152-7806.96068​

6. Sharifi A, Hwang PH, Kouhi A, Zojaji M, Ghaffari ME, Ghaedsharaf S. Role of Early Postoperative Measurement of Copeptin in Prediction of Diabetes Insipidus Following Pituitary Surgery in Adults: A Systematic Review Plus Meta-analysis. World Neurosurg. Published online October 28, 2024. doi:10.1016/j.wneu.2024.10.006​

7. Miao Y, Fan K, Peng X, et al. Postoperative hypothalamic-pituitary dysfunction and long-term hormone replacement in patients with childhood-onset craniopharyngioma. Front Endocrinol (Lausanne). 2023;14:1241145. Published 2023 Nov 6. doi:10.3389/fendo.2023.1241145​

8. Schroeder LE, Kritselis M, Lala N, Boxerman J, Alhusaini S. Pearls & Oy-sters: Adult-Onset Craniopharyngioma Presenting With Cognitive Dysfunction and Obstructive Hydrocephalus [published correction appears in Neurology. 2024 Jul 9;103(1):e209596. doi: 10.1212/WNL.0000000000209596]. Neurology. 2023;101(21):974-978. doi:10.1212/WNL.0000000000207857​

9. Lin B, Xiang S, Chen J, et al. Assessment of quality of life in patients with craniopharyngioma and identification of risk factors for compromised overall wellness. Arch Endocrinol Metab. 2023;68:e230001. doi:10.20945/2359-4292-2023-0001​

10. Bereket A. Postoperative and Long-Term Endocrinologic Complications of Craniopharyngioma. Horm Res Paediatr. 2020;93(9-10):497-509. doi:10.1159/000515347

11. Hald JK, Eldevik OP, Quint DJ, Chandler WF, Kollevold T. Pre- and postoperative MR imaging of craniopharyngiomas. Acta Radiol. 1996;37(5):806-812. doi:10.1177/02841851960373P275